Turnerの歯
ターナー ノ ハ
-
分野名
-
解説
-
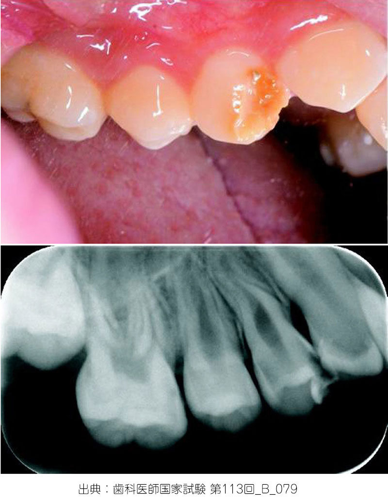
【原因】
・乳歯の慢性根尖性歯周炎
→後続永久歯に認められる
【特徴】
特に小臼歯部に多い
★★★ ぜひご活用ください! ★★★
OralStudio歯科辞書はリンクフリー。
ぜひ当辞書のリンクをご活用ください。
「出典:OralStudio歯科辞書」とご記載頂けますと幸いです。
ターナー ノ ハ
【原因】
・乳歯の慢性根尖性歯周炎
→後続永久歯に認められる
【特徴】
特に小臼歯部に多い
★★★ ぜひご活用ください! ★★★
OralStudio歯科辞書はリンクフリー。
ぜひ当辞書のリンクをご活用ください。
「出典:OralStudio歯科辞書」とご記載頂けますと幸いです。

「辞書用語の追加申請」では、現状のOral Studio歯科辞書に登録されていない用語の追加申請を随時承っています。
歯科辞書用語追加希望がございましたら、以下の項目を入力し登録要請ボタンをクリックしてください。
当サイトは歯科医療従事者の方を対象とした情報提供サイトです。一般の方への情報提供を目的としたものではありませんので、あらかじめご了承ください。
あなたは歯科医療従事者ですか?